All About Hair
Social Impact and Aesthetics of Hair
What is it about hair? References to our "crowning glory" abound in our historical and cultural experience, a shared consciousness about what it means to have, or to not have, this most outwardly evident portion of our human anatomy. So why is hair so important to us, what is its significance and why do we universally care so much about it? Well, let's examine some of these questions.
For one thing, it is so obvious. Rarely concealed by clothing, it is one of the first characteristics that other people notice about us. When someone asks for a description of an individual, here's what usually comes to mind: "He's a tall, blond guy, with long hair like a Viking"… "she's a beautiful brunette"… "Medium build, dark, curly hair"… "an impressive shock of thick, white hair"… "light-skinned, with dreadlocks or cornrows"… "fat and balding"… "she's a real redhead!"… "he was cute, with poofy hair like an '80's rock star".
Notice something common to all these descriptions of obviously quite different people? Sure, it's the hair. Before eye color, nose shape, sometimes even before height and weight, people comment on hair: length, color, style, or the absence thereof. This is a large part of what we present to the world, like it or not. It is also inevitably present in our concepts of beauty.
The impact is powerful. We know that people with "outrageous" hairstyles considered outside the mainstream may have difficulties functioning in society at large. Our hair speaks to our social, professional, cultural, and/or religious affiliations, and is an important element of our self-expression. What is less well known is that bald or balding men are often regarded by society as older, weaker, more ineffectual, and are more likely to be passed over for promotions or raises than their peers. They are often seen as less desirable as potential mates, lacking in virility, and less capable of providing for a family. Even more significantly, balding men have lower levels of self-esteem than their peers, suffer more from depression, are less sociable, and are less likely to succeed in life (British Journal of Psychology, 1995).
Hair is inextricably woven into the fabric of our culture. Consider our common mythos: Samson and Delilah, Cleopatra, Prince Valiant, Rapunzel, Goldilocks; hippies, skinheads, mods and rockers, the Beatles (those 'loveable "moptops" from Liverpool!') Hair and hairstyles define entire eras (the 1960's) and cultural movements. Likewise, religion and spiritual disciplines often consider hair, or its absence, of singular significance. Many sects of monks or nuns require shaving of the hair as a demonstration of withdrawal from "worldly" pursuits into the spiritual world. Conversely, Sikhs and other religious groups prohibit any cutting of the hair at all.
So in our society, and in most others, there is an enormous symbolism attached to our hair. There are very few bald members of the United States Congress, many fewer than would be expected from a normal cross-section of our population. Our only truly bald president in the past 50 years was Eisenhower, who was enormously popular as a war hero. Imagine our cultural icons, our celebrities, even our animated Disney heroes: thick, luxuriant heads of hair are the desired norm. Why the great emphasis?
Consider the birds of the field (and the snakes in the grass, for that matter). Feathers, and scales, like hair, are appendages of the skin, similar modifications in different species. Brightly colored and obvious plumage and scales are important in mating and courtship rituals in the animal kingdom, are they not? They are expressions of gender and availability. We all smile at the image of the "strutting cock of the walk", but in the rooster's world, he's the king! In our world, hair, an external form of living clothing, expresses much about us to the world. Our choice of styling, color, and length are, to some extent, outward signals of our innermost desires and deepest feeling about ourselves. The loss of this instrument of expression may, for some men and women, be devastating.
Scientific Basis of Hair Growth and Distribution
In the following discussion, we will mostly be concerned with scalp hair. Although scalp and body hair share many of the same characteristics, it is balding that we seek to understand and remedy, so this will be the focus unless otherwise indicated.
Hair is a living entity, although the shafts we see are largely the extension, outside the body, of a dead protein called keratin. Beneath the level of the skin, however, there sits a powerhouse of cellular activity. This cell division and differentiation pushes the hair shaft outward; thus we see hair growth that averages about one half inch per month.
There are two types of hair: terminal and vellus. The terminal hairs are the thick, strong, usually pigmented ones that constitute the greatest volume of our hair. The vellus hairs are the very fine, short, lightly pigmented hairs, sometimes called "baby hairs", that can be often detected around the hairline, and throughout the scalp, as well as the light "fuzz" elsewhere on the body. This difference is significant when discussing balding, for in balding, the terminal hairs gradually undergo a metamorphosis called "miniaturization". They become shorter, finer, and less colored; in short, they become vellus hairs. If you look closely at the heads of balding men, you will see that, in many of the areas of balding, the strong terminal hairs are replaced by these fine, vellus, "baby hairs"; this is miniaturization, and we will discuss this in greater detail in the next section on hair loss.
In addition to these two types of hairs, the individual characteristics of the hair are very important in determining appearance (including the appearance of balding) and styling options. These characteristics include color, curl or kink, caliber (cross-sectional area) and density (number of hairs per unit area). For example, although African hair tends to have a lower density (hairs per square inch) than Caucasian hair, its extreme curliness lends it a great volume and ability to achieve coverage after hair transplant surgery. Asian hair, although it tends to be very coarse (high caliber), may be more challenging to transplant due to the straight nature of the hair, and the contrast between dark hair and lighter skin. However, these are but a few examples, and all of these characteristics are taken into account by the hair restoration expert in designing a program for each unique individual. This is where the art of hair restoration meets the science.
In addition to the hair shafts themselves, there are other structures involved in the growth and function of hair. Each hair is associated with a sebaceous gland, which produces the oily sebum that serves to lubricate the hair shafts. Likewise, there is an erector pili muscle, which contracts to raise the hair in situations of anger, fright or cold. Although this function serves little purpose in humans, we see it in other mammals when their "hackles" rise.
Hair growth and rest occurs in three phases: anagen, catagen and telogen. The anagen phase is the period of active growth. At any time, about 85 to 91% of hairs are in this active, anagen phase. Anagen may last from 2 to 7 years, but usually about 3 years on average. The catagen phase is considered transitional, and the telogen phase is the dormant, or resting phase. When the hair enters the telogen stage, the hair is either pulled out during normal grooming, or is pushed out when the new hair shaft growth begins.
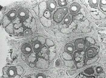
Last, but certainly not least, is the anatomical and physiological unit we have come to call "follicular units". If you have done any current reading on hair restoration surgery, you have surely come across this term. Believe it or not, it was only in the early 1980's that it was recognized that hairs grew not as strictly single shafts, but as discrete groups of one, two, three, four, and rarely five terminal hairs. These hairs are joined by one or two vellus hairs, a sebaceous gland, an erector muscle, a neurovascular bundle (meaning the nerve and blood vessels), and the perifolliculum, or fine connective tissue sheath. These units are easy to see emerging from the skin under slight magnification on cross section through the skin (figure 1) or when the hair is clipped short (figure 2).
        
 
Figure 1 (cross section)
       
        
 
Figure 2 (surface of scalp)
       
The significance of recognizing follicular units as the fundamental grouping of scalp hair cannot be underestimated. This understanding has led to a revolution in the techniques of modern hair transplantation. The past decade has given us a whole new perspective on the harvesting, movement and implantation of permanent hair into areas of balding scalp. This can now be done, at least by well-trained surgeons and their operative teams, in a manner that is natural and undetectable. We will discuss this more, in greater detail, in later sections.
Our customer service representatives are available 24 hours a day, from Monday to Sunday. Contact Us
 
 
 
The Natural History of Balding
Surgical Treatments for Hair Loss
...> more info ...


 
 


